匠×デジタル
-精密と美を極める歯科技工-

お問い合わせ

匠の技術、デジタルで極まる

株式会社リープ・セラミック・アーツは、「匠×デジタル」を企業理念に掲げ、
職人の技術と最先端のデジタル技工を融合させた歯科技工所です。

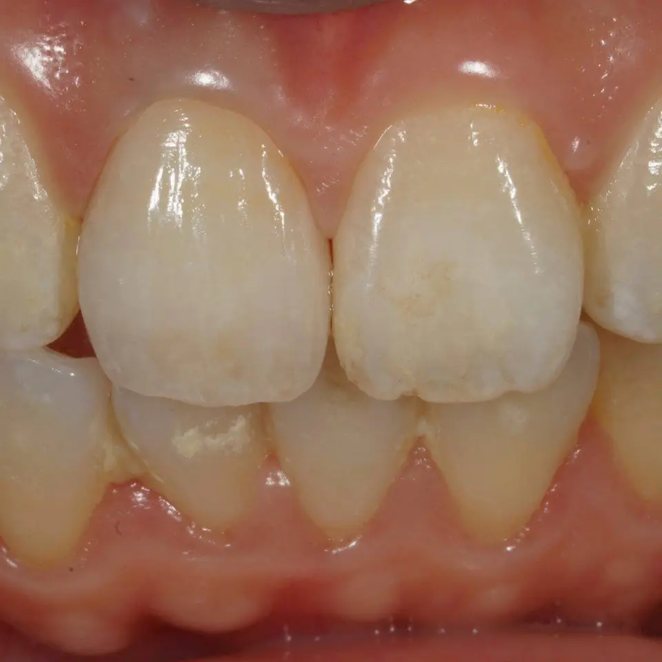
当社の大きな特長は、IOS(口腔内スキャナー)データを基盤にしたインプラント・セラミック補綴の高精度技工です。
従来の型取りに頼らずデジタルワークフローにより時間短縮と精度向上を両立。

審美性と機能性を両立した補綴物を提供しています。

1分でわかる!
株式会社リープ・セラミック・アーツ

お仕事・セミナーのご依頼は
株式会社リープ・セラミック・アーツまで

審美歯科、インプラント、ジルコニア、セラミック、IOS(イントラオーラルスキャナー)のご依頼をお待ちしております。

  • 代表取締役歯科技工士・伊藤竜馬の歩みと挑戦

    歯科技工の世界で30年以上の経験を持つ伊藤竜馬氏。
    1996年に新東京歯科技工士学校を卒業後、日本臨床CAD/CAM学会の指導技工士、早稲田歯科技工トレーニングセンターなどを経て、1999年には同校のインストラクターに就任。2004年には「リープ・セラミック・アーツ」を開業し、独自の審美技術を発展させてきました。

    その後も教育機関や講演活動に精力的に取り組み、新東京歯科技工士学校の非常勤講師として後進の育成に携わるとともに、数々の学術誌やフォーラムで技術を発信。
    2009年にはモリタ歯科技工登竜門で優秀賞を受賞するなど、技術者としての評価も高く、国内外の著名技工士のもとで研鑽を重ね、2024年には大阪セラミックトレーニングセンター宮崎校を卒業。
    現在は、鶴見大学技修会学術理事、デンツプライ・シロナ インストラクターとしても活躍中です。

  • 【求人募集】
    伊藤竜馬が率いる「リープ・セラミック・アーツ」であなたの技工人生を次のステージへ。

    国内外で高い評価を受ける歯科技工士・伊藤竜馬が代表を務める「リープ・セラミック・アーツ」では、技術を磨きながら成長できる仲間を募集しています。

    【当ラボの特徴】
    ・確かな実績と指導環境
    代表の伊藤は、モリタ歯科技工登竜門優秀賞をはじめ、QDTやOdontotecnicaへの論文掲載、講演登壇など多数の実績を持ち、現在も学会活動を通じて後進の育成に取り組んでいます。

    ・最新技術への積極的な取り組み
    セラミック技工を中心に、審美・インプラント分野に注力。最新のデジタル技術を活かした先進的な技術を学べます。

    ・教育体制・スキルアップ支援あり
    初心者の方には丁寧な指導体制、経験者にはステップアップできる環境を提供。学会発表や論文執筆などにも積極的にチャレンジできます。

会社概要

会社名 株式会社 リープ・セラミック・アーツ
代表者名 伊藤 竜馬
所在地 〒146-0092
東京都大田区下丸子2-14-22 フラットK 3F
GoogleMapで見る
電話番号 03-6715-0993
設立 2004年11月
事業内容 CAD/CAM、ジルコニア、インプラント、自費専門の歯科技工物の製作
アバットメント、上部構造、シンタリングなど外注技工物の製作
当社HP https://www.leap-ca.com/index.html

お問い合わせ

  • お名前必須

  • お名前(フリガナ)必須

  • メールアドレス必須

  • 電話番号必須

  • 性別

  • 生年月日

  • コメント

プライバシーポリシーの宣言

当社の運営するウェブサイトをご利用いただくお客様のプライバシーの保護に努めています。 当社がサービスを提供するためには、お客様個人に関する情報(以下、「個人情報」といいます)を集めなければなりませんが、当社でその情報のプライバシーを守り、 秘密を保持するために様々な手段を講じています。 当社は個人情報を売買したり、交換したり、その他の方法で不正使用することには一切行いません。 このウェブサイトをご利用になり、個人情報を供与することで、あなたはこのプライバシーポリシーに説明されている個人情報の取り扱い等について受諾し、承認したものとみなされます。

個人情報の収集の目的

お客様から集めた個人情報は、以下の目的で利用します。

  1. 当社がお客様に提供するサービスにおいて利用するため
  2. お客様に合ったサービスや新しい商品などの情報を的確にお知らせするため
  3. 必要に応じてお客様に連絡を行なうため
個人情報の開示

下記の場合には、お客様の事前の同意なく当社はお客様の個人情報を開示できるものとします。

  1. 警察や裁判所、その他の政府機関から召喚状、令状、命令等によって要求された場合
  2. 人の生命、身体または財産の保護のために必要がある場合であって、お客様の同意を得ることが困難であるとき
個人情報の管理

お客様の個人情報は、当社が適切な管理を行なうとともに、漏洩、滅失、毀損の防止のために最大限の注意を払っております。 尚、当社ではお客様によりよいサービスを提供するため、個人情報を適切に取り扱っていると認められる外部の委託先に、個人情報の取り扱いの一部を委託しています。委託先は、委託業務を行なうために必要な範囲で個人情報を利用します。 この場合当社は、委託先との間で個人情報の取り扱いについて適切な契約を締結し、適切な管理を要求いたします。

従業員の監督方法

個人情報保護の重要性について、適時または定期的に適切な教育を行っております。 また、当社が個人情報を管理する際は、管理責任者を置き適切な管理を行うとともに、外部への流出防止に努めます。 さらに、外部からの不正アクセスや改ざん等の危険に対しては、適切かつ合理的な範囲の安全対策を実施し、お客様の個人情報保護に努めます。 個人情報に係るデータベース等のアクセスについては、アクセス権を有するものを限定し、社内においても不正な利用がなされないように厳重に管理します。

リンク先

リンク先での個人情報の利用については、当社のプライバシーの考え方ではなく、リンク先サイト自身のプライバシーの考え方に従って行われます。

プライバシーポリシーの改訂

当社では、お客様に提供するサービス向上のため、上記各項目の内容を適宜見直し、改善してまいります。本書を変更する場合は、この変更について本ウェブサイトに掲載します。 最新のプライバシー・ステートメントをサイトに掲載することにより、常にプライバシー情報の収集や使用方法を知ることができます。定期的にご確認くださいますようお願い申し上げます。 また、当初情報が収集された時点で述べた内容と異なった方法で個人情報を使用する場合も、本ウェブサイトに掲載してご連絡させていただきます。 本ウェブサイトが当初と異なった方法で個人情報の使用をしてよいかどうかについての選択権は、お客様が有しております。

このサイトはreCAPTCHAによって保護されておりプライバシーポリシー利用規約が適用されます。